こんにちは!いまむら歯科矯正歯科です☺️
今回は当院で行っている、子どもの歯並び治療プレオルソの紹介をさせていただきます🦷🌟

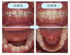
こちらは6歳の女の子です👧🏻🎀
毎日のプレオルソ使用+お口のトレーニングをとても頑張ってくれました!☺️
約1年間でこんなにキレイになりました!
プレオルソは歯並びだけではなく、お口周りの筋肉の機能を改善する訓練をすることで、健康的なお口を目指すことができます!
•3歳児検診で歯並びを指摘された方
•お子さまの歯並び、食べ方、話し方、口呼吸、お口ぽかんが気になるお父さまお母さま
少しでも気になることがあればどうぞお気軽にいまむら歯科矯正歯科にご相談ください☺️
※写真の掲載は患者さまよりご了承いただいております。
ご協力していただきありがとうございます☺️